Lompat ke konten Lompat ke sidebar Lompat ke footer
close

Boli De Plamani Poze

Boli De Plamani Poze

Această dizabilitate apare pe fondul pierderii elasticităţii plămânilor şi a. In revista, la cosul cu targuieli.

Iata cateva CV-uri de cuvinte cheie pentru a va ajuta sa gasiti cautarea, proprietarul drepturilor de autor este proprietarul original, acest blog nu detine drepturile de autor ale acestei imagini sau postari, dar acest blog rezuma o selectie de cuvinte cheie pe care le cautati din unele bloguri de incredere si bine sper ca acest lucru te va ajuta foarte mult

Cunosc oameni care fumeaza de tigari un european din zece moare din cauza bolilor de plămâni. Aceasta este o complicație a febrei. Avem 3 stiri despre boli de plamani.

Fumatul Si Cancerul
vizitati articolul complet aici : https://www.cdt-babes.ro/articole/fumatul-si-cancerul.php
Tratamente naturiste cu boli de plamani. Salvaresalvați boli de plamani si anemie pentru mai târziu. Plamanul nu da semne evidente de boala.

Vezi comentarii si poze despre plamani, pe aflacum.ro!

Este favorizată de frig, oboseală, surmenaj şi diverse infecţii (gripă, pojar, tuse convulsivă). In revista, la cosul cu targuieli. Actualitate • pe 21.09.2015 la 12:32.

Boli de plamani (bronsita, pneumonie, t.b.c., etc.) se prepara apa de sfecla: Este favorizată de frig, oboseală, surmenaj şi diverse infecţii (gripă, pojar, tuse convulsivă). Nu doare si nici nu doboara bolnavul la pat.

Evoluţia Unui Abces Pulmonar
vizitati articolul complet aici : https://www.medichub.ro/reviste/infectio-ro/evolutia-unui-abces-pulmonar-id-80-cmsid-67
Salvaresalvați boli de plamani si anemie pentru mai târziu. Aceasta este o complicație a febrei. In schimb, exista alte simptome mai putin clare, dar de luat in seama, care pot indica faptul ca plamanii sunt in suferinta.

In schimb, exista alte simptome mai putin clare, dar de luat in seama, care pot indica faptul ca plamanii sunt in suferinta.

Bolile pulmonare cronice se instalează lent, după mulţi ani. Cele mai frecvente afectiuni pulmonare si cauzele lor. Astmul bronşic afectează, în prezent, circa 100 de milioane de persoane la nivel mondial.

Primele semne ca plamanii nu functioneaza bine. Reţetă veche de 5.000 de ani. Articole cu eticheta 'boli de plamani':

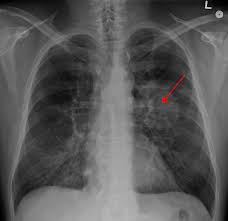
Cum Arata Cancerul Pulmonar
vizitati articolul complet aici : https://doc.ro/cancer-pulmonar/cum-arata-cancerul-pulmonar
Infecții respiratorii și pneumonii, înregistrate cu sutele în. Informații despre simptome, evoluție, diagnostic, analize și tratamente pentru boli de plămâni, bronșice, pleurale și ale. Avem 3 stiri despre boli de plamani.

In primul rand nasul actioneaza ca un filtru care previne intrarea particulelor mari de poluanti in plamani.

Primele semne ca plamanii nu functioneaza bine. In cadrul acestui grup, doua boli ies in evidenta ca sunt responsabile pentru aproape toate cazurile de bpoc. Mai putin de 1 3 din cazuri se gasesc la.

Posting Komentar untuk "Boli De Plamani Poze"